По акции всего39 990 ₽
31 990 ₽
Преимущества
Красивая улыбка всегда в тренде
Без боли
Изменение формы и цвета зубов
Идеальная улыбка
Быстрый результат
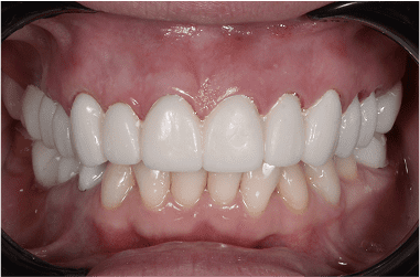
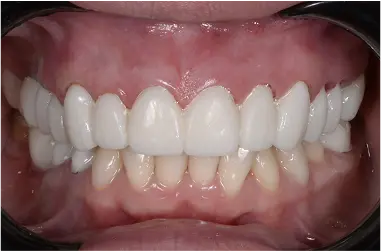
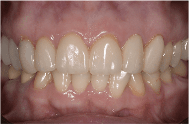
Наши работы
Счастливые клиенты
Что такое виниры?
Это тонкие керамические накладки
на зубы, с помощью которых можно существенно улучшить цвет,
форму и пропорции зубов
Акция
Успей записаться на установку виниров
Керамические виниры на 1 зуб — 31 990 ₽ 39 990 ₽

Процесс работы
Маршрут к Вашей улыбке
Шаг 1
Консультация и планирование
На консультации стоматолог-ортопед ответит вам на все интересующие вопросы, оценит состояние вашей полости рта и составит полный план лечения (направит к другим специалистам, если это необходимо). Также на консультации доктор поможет вам выбрать форму и цвет ваших будущих виниров и проведёт фотопротокол вашей улыбки.
Керамические виниры отличаются высокой эстетикой и прочностью. Виниры изготавливаются индивидуально для каждого пациента и процесс установки занимает от 4 до 8 дней и состоит из нескольких этапов.
Шаг 2
Диагностика и снятие слепков
Диагностика и снятие слепков для изготовления Wax-up (восковое моделирование)

Шаг 3
Подготовка
Проводится минимальное препарирование эмали зубов (0.2-0.3 мм). Далее устанавливаются временные накладки.
Шаг 4
Фиксация
На последнем этапе проводится примерка постоянных конструкций, если они сидят идеально, то производится их фиксация на специальный адгезив. Далее проводится финальный фотопротокол вашей улыбки и даются рекомендации по уходу за винирами.
О клинике
О клинике
История Стоматологической клиники Карат берет своё начало в 1992 году.
Благодаря профессиональному труду наших врачей десятки тысяч улыбок пациентов делают окружающий мир светлее и радостнее. За 30 лет сфера стоматологических услуг сильно изменилась. С появлением новых технологий и цифровизации повышаются требования к уровню профессионализма врачей.
Наши специалисты регулярно принимают участие в семинарах и вебинарах ведущих стоматологических центров России и за рубежом. Высокая квалификация коллектива позволяет предоставлять нашим пациентам услуги высокого качества.
Миссия стоматологии Карат
- чуткость, индивидуальный подход и высококачественный результат лечения. Мы дорожим своей репутацией и доверием пациентов нашей клиники.
FAQ
Ответы на часто задаваемые вопросы
Как долго обычно служат виниры?
Консультация
Запишитесь на консультацию
Оставьте свои контакты и мы свяжемся с вами в течение 15 минут для уточнения деталей
